
แพทย์ชี้แม้คนติดโควิดไม่มีอาการ แต่มีปริมาณเชื้อในจมูกสูงมาก
หัวหน้าศูนย์โรคอุบัติใหม่ทางคลินิก รพ.จุฬาฯเผยผู้ติดเชื้อโควิดที่ไม่มีอาการ จะมีเชื้อในจมูกเยอะมากพร้อมจะแพร่กระจาย พร้อยกเคสคนไข้ปกปิดประวัติเสี่ยงจนหมอเห็นความผิดปกติของปอดจากฟิล์มเอ็กซ์เรย์จึงซักเพิ่มจนยอมรับว่าไปบ่อนใน กรุงเทพฯมา
นพ.โอภาส พุทธเจริญ หัวหน้าศูนย์โรคอุบัติใหม่ทางคลินิก โรงพยาบาลจุฬาลงกรณ์ สภากาชาดไทย โพสต์ข้อความผ่านเฟซบุ๊ก Opass Putcharoen ถึงการติดเชื้อโควิด19 โดยมีเนื้อหาน่าสนใจดังนี้
Walking spreader
รอบนี้คนไข้ไม่เหมือนเดิม
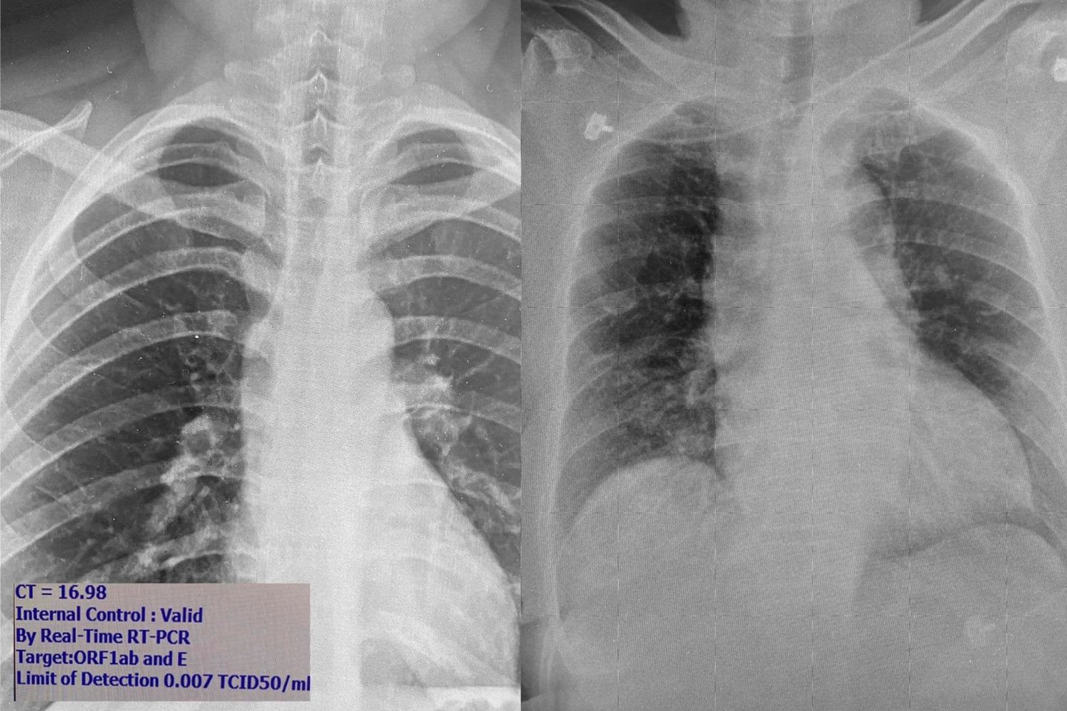
1. เชื้อแบ่งตัวได้ดีในจมูกและทางเดินหายใจ คนไม่มีอาการจะมีเชื้อในจมูกเยอะมากพร้อมที่จะแพร่กระจายเป็นวงกว้างเวลาไอ จามหรือพูด ในรูปภาพซ้าย ภาพถ่ายปอดผู้ที่ติดเชื้อที่ไม่มีอาการเลย เดินไปเดินมา ใช้ชีวิตเหมือนคนปกติ แต่เชื้อในจมูกค่า CT (cycle threshold) จากเครื่อง PCR บอกว่ามีปริมาณเชื้อในจมูกสูง มากเมื่อเทียบกับคนไข้ที่เคยเห็นในระลอกแรก ดังนั้นถ้าไม่ได้มาตรวจก็แพร่กระจายเชื้อคนอื่นได้อีกมาก
2. รูปขวา--เราเริ่มเห็นคนมีอาการไข้หวัดหรือปอดอักเสบมาที่โรงพยาบาล แต่ไม่ยอมบอกประวัติความเสี่ยงเพื่อปกปิดการเดินทาง แพทย์อาจไม่ได้ส่งตรวจหาโควิด เพราะคิดว่าเป็นปอดอักเสบจากเชื้ออื่นที่พบได้บ่อยกว่า
ดังนั้นถ้ามีประวัติไปที่เสี่ยงตัองแจ้งแพทย์เสมอเพื่อแยกออกไปจากคนไข้คนอื่นที่มีโอกาสติดแล้วมีอาการรุนแรงหรืออาจติดต่อไปยังหมอและพยาบาล
เมื่อวานมีคนไข้เป็นปอดอักเสบมาตรวจ แต่ไม่ยอมบอกประวัติความเสี่ยงแต่แพทย์เห็นฟิล์มผิดปกติเหมือนปอดอักเสบจากไวรัสเลยส่งตรวจโควิดและตรวจเจอเชื้อ พอเค้นซักประวัติอีกรอบถึงยอมรับว่าไปบ่อนมา ซึ่งเป็นบ่อนใน"กรุงเทพ"นี่เอง
โชคดีที่ดักเคสนี้ได้เร็ววินิจฉัยได้เร็ว การไม่บอกประวัติเสี่ยงอาจทำให้บุคคลากรทางการแพทย์อาจติดโควิด เพราะในบางครั้งถ้าการดูแลรักษาอาจต้องใช้การพ่นยาการใช้ออกซิเจนทำให้เชื้อกระจายฟุ้งในโรงพยาบาล โรงพยาบาลอาจจะขาดกำลังแพทย์พยาบาลเพื่อรักษาคนไข้อื่น







