เตือนใจพ่อแม่สูบบุหรี่ ลูกน้อยป่วยหนักปอดติดเชื้อเพราะ "ควันบุหรี่"
สาวเตือนใจ หลังลูกน้อยป่วยหนัก หอบ ปอดอักเสบติดเชื้อ สาเหตุมาจากการได้รับควันบุหรี่
สาวเตือนใจ หลังลูกน้อยป่วยหนัก หอบ ปอดอักเสบติดเชื้อ สาเหตุมาจากการได้รับควันบุหรี่
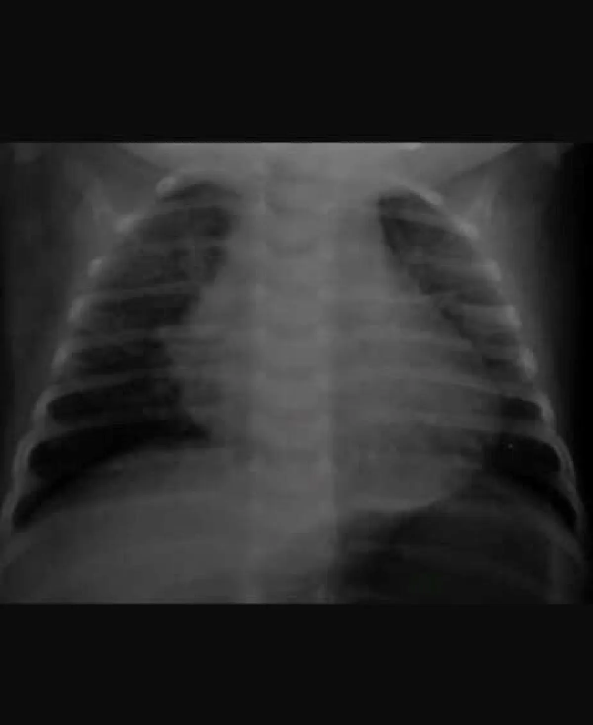
เมื่อวันที่ 21 พ.ย. สังคมออนไลน์ให้ความสนใจเรื่องราวที่ถูกเผยเเพร่โดยเฟซบุ๊กชื่อ พิม จ๋า ซึ่งได้โพสต์เอาไว้ในกลุ่ม HerKid รวมพลคนเห่อลูก โดยมีภาพเอ็กซเรย์ปอดของเด็กเล็ก พร้อมกับภาพที่ต้องพ่นยา ซึ่งคุณแม่รายนี้ระบุว่า ลูกเกิดอาการปอดติดเชื้อเป็นหอบ สาเหตุมาจากการได้รับควันบุหรี่มากเกินไป
"เตือนนะคะ (แชร์ได้) คุณพ่อคุณแม่ที่ชอบสูบบุหรี่ในห้อง เคสนี้เกิดขึ้นกับลูกเราเองค่ะ ตอนแรกแม่ก็นึกว่าลูกไข้แบบธรรมดาเพราะกลับมาจากฉีดวัคซีนแต่น้องไอมากไอจนอ้วกแล้วหายใจลำบากน้องร้องทั้งคืนฟังเสียงน้องหายใจจะได้ยินเหมือนเสียงนกหวีดเลยรีบพาน้องไปโรงพยาบาล ผลออกมาปรากฎลูกเปนหอบและปอดติดเชื้อค่ะ และตอนนี้ปอดน้องก็หายไปครึ่งนึง 1 ข้างคะ #คุณหมอบอกว่าสาเหตุเป็นเพราะได้สูดรับควันบุหรี่มากไป ต้องคอยพ่นยาทุก 2 ชั่วโมงเลยค่ะ
ที่น้องได้รับควันบุหรี่มากๆเพราะว่าแฟนชอบดูดบุหรี่ไม่ดูดในบ้านก็จริง แต่ควันที่ติดมาจากเสื้อที่แฟนดูดบุหรี่แล้วมาอุ้มลูกแล้วลูกเอาหน้าซบกับเสื้อผ้าแฟน ที่บ้านเลี้ยงไก่ด้วย มันจะมีตัวไรซึ่งเรามองไม่เห็นเป็นสาเหตุด้วย &<28557;&<28557;สงสารลูกเลย หมอต้องคอยเคาะเสลด ไม่มีไครเจตนาให้มันเกิดขึ้นทั้งสิ้น ตอนนี้หมอพ่นยาทุก2ชม. และดูดน้ำมูก เคาะปอดทุก 4 ชั่วโมง" หญิงสาวเล่า"


