Raw fish & cancer in Thailand
Raw meat's link with liver cancer, long known, is now the focus of a childhood
Raw meat's link with liver cancer, long known, is now the focus of a childhood education programme to stop deadly bad habits forming.
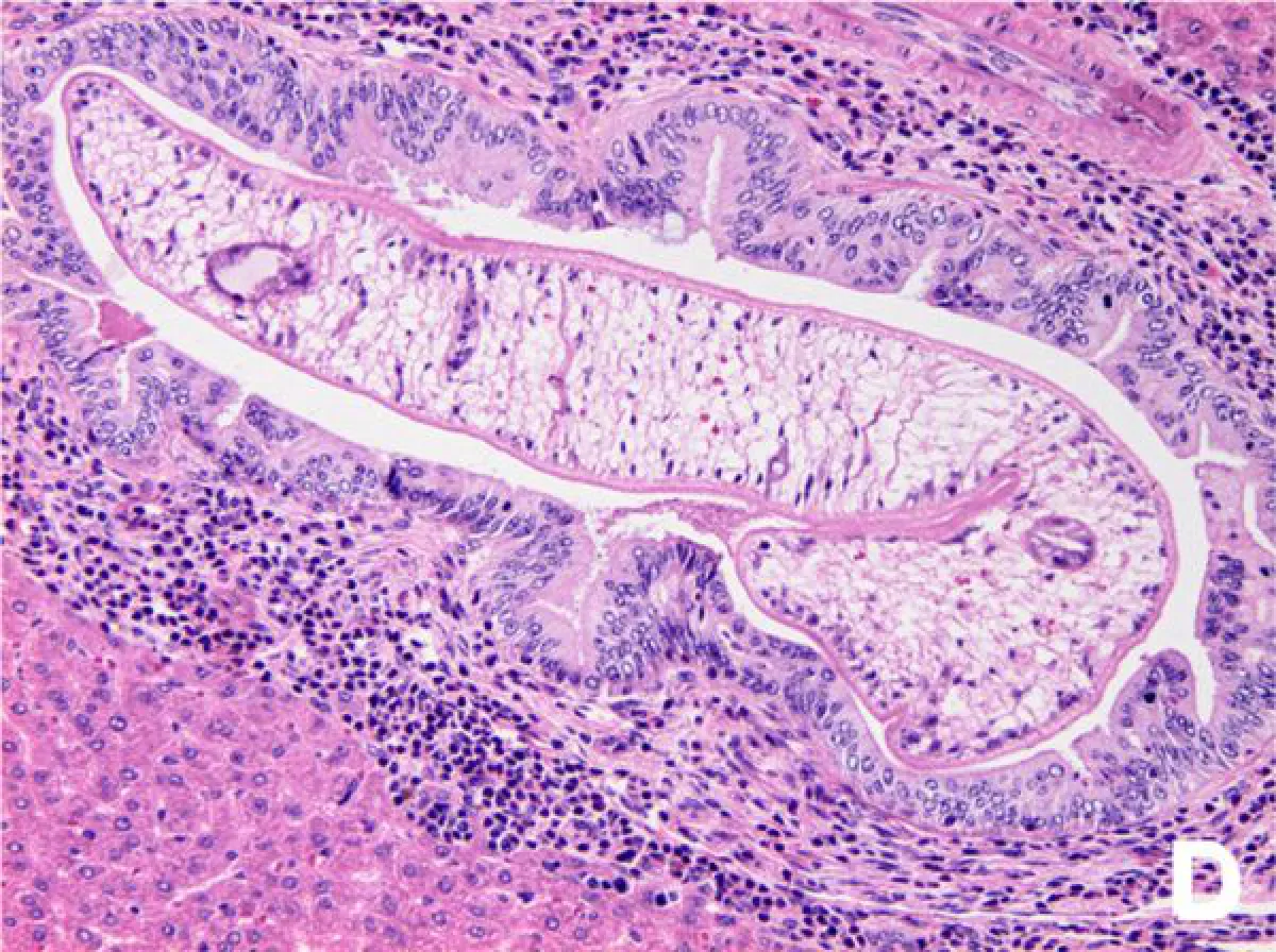
The opisthorchiasis parasite (shown above) is linked to liver cancer (cholangiocarcinoma) found in koy pla (spicy uncooked fish salad) shown below. Also below, children take part in a public health awareness class to educate young people about the liver cancer risks of koy pla. The children are playing an educational game.
Click button to listen to Liver Cancer From Raw Fish to download
Hazard Made In Isan: Eating habits need to change as liver cancer takes its toll by Pinnachan Dangulavanich
Those dishes, especially the spicy uncooked fish salad or koy pla, are her parents' favourite choices on the menu -- just as they are for many other Isan people.
"My parents still eat uncooked fish but they always make it well-cooked just for me," said the 10-year-old schoolgirl, adding that her parents are worried that she may contract diseases from the traditionally prepared Isan dishes.
Uncooked fish salad which is linked to liver cancer is a major health concern in the Northeast -- a region where eating raw fish is common.
There are two types of liver cancer -- hepatocellular carcinoma (HCC) and cholangiocarcinoma. HCC begins in the hepatocytes, the main type of liver cell. "It is the most common form of liver cancer that is found in the world, except in Thailand, especially in the Northeast," explained Dr Thiravut Khuhaprema, chairman of the National Cancer Institute Foundation.
The other type, cholangiocarcinoma, starts in the small tubes in the liver called bile ducts, so it can be called bile duct cancer, he said, adding that this cancer is mainly caused by opisthorchiasis, a parasitic disease associated with eating raw or under-cooked freshwater fish, and nitrosamines, a chemical compound used in food preservation.
According to the doctor, there is no treatment for this type of cancer as bile ducts cannot be taken out of the liver
"Although it cannot be cured, it can be prevented by avoiding its two causes," said Dr Thiravut.
In the northeastern part of Thailand, nearly six million people are infected with opisthorchiasis. The figure makes Thailand the country with the highest number of cholangiocarcinoma patients in the world. There are 80 such patients per 100,000 population in Thailand compared to one per 100,000 in the West.
In a bid to fight against the lethal disease, youth volunteers in Si Sa Ket and Ubon Ratchathani recently launched a campaign to promote healthy eating habits, and to avoid uncooked fish, among local kindergarten children and elementary students. The activity was part of the Liver Cancer Prevention project in partnership with the National Cancer Institute Foundation and Bayer Thai Co Ltd that was launched last year.
The project encourages local people to learn about the causes of cholangiocarcinoma and aims to enhance the quality of life of people in the Northeast where eating raw fish is a common habit.
"My grandfather died from cholangiocarcinoma at the age of 57. And now elders in my village are dying one by one," said Kittiya Silawong, from the Faculty of Public Health Sciences at Chalermkarnchana College.
"Grandpa had eaten spicy raw fish salad since he was young. Although I told him it was not good for his health, he refused to give up. He claimed that lime juice or some red ants he put in the salad and drinking rice whisky would kill any germ in raw fish. That's not true, but he, like so many people of his generation, strongly held that false belief and ignored my warning.
"Adults usually come up with many reasons to keep eating raw fish, their favourite food. For example, 'If I am going to die because of eating undercooked fish, I would have died many years ago' or 'It doesn't matter if I stop eating raw fish right now because I had had it since I was a kid'," said Kittiya.
Actually, the more they eat that inappropriate food, the more they are at risk for opisthorchiasis and cholangiocarcinoma.
As for the most effective result in preventing opisthorchiasis, they should not even have one bite of raw fish. Therefore, kindergarten kids and primary school students are principal targets to be informed.
To communicate with children, the youth volunteers of Chalermkanchana College in Si Sa Ket province emphasised using new communication media. They produced and presented cartoon videos, illustrations, music, games and short theatrical plays about the cancer. All these were designed to help younger children commit the message to memory, creating awareness about avoiding the risks of eating raw or under-cooked food and thus contracting liver cancer. The target group included more than 100 students from the college, elementary students from eight schools and parents of the participating children.
"Kids have to know the danger of eating uncooked fish," said Kanokwan Khan-nguen, a volunteer from the Faculty of Public Health Sciences at Chalermkarnchana College.
She said it was hoped that the children would pass on the information to their parents and relatives.
"Whenever we have a chance, we alert adults, too. Our presentations involved not only young children, but also their parents, reinforcing the call for a change in attitude towards the food. While admitting that it's very hard for them to change their eating habits, they promised not to allow their kids to eat like them. And that is enough for us," she said.
Ubon Ratchathani Rajabhat University also held a similar "kids-first" educational campaign, with a role-play act, Jao Wai Rai Pla Dip or Evil Raw Fish, and games targeting some 300 kindergarten and primary school students.
The campaign aims to make it easier for the young audience to get the message. There was also a performance of modern northeastern-style music by a mor lam singing folk band as well as fun-filled activities.
"It's maybe too late for the adults as they are hooked on the taste of raw fish, but for children, they will be our spokespeople, a model, a new generation without a high incidence of cholangiocarcinoma," said Tinnagon Samanya, a volunteer from the university's Faculty of Public Health Sciences.
The young volunteer knows well that it's a lot easier said than done. "Eating habits will not easily change. However, it's worth trying."
(Source: Bangkok Post, Hazard Made In Isan, Eating habits need to change as liver cancer takes its toll, 17/01/2012, Pinnachan Dangulavanich, link)
Liver Cancer Prevention Vocabulary
opisthorchiasis - the Southeast Asian liver fluke, a parasite that attacks the area of the bile duct, the parasite enters people when they eat raw or undercooked fish, infection with this parasite can lead to cholangiocarcinoma, a cancer of the gall bladder and/or its ducts (See Wikipedia)
parasite (noun) - a small animal that lives inside a larger animal and gets its food from the larger animal (See Wikipedia)
parasitic (adjective)
parasitic disease - a disease in a larger animal caused by a smaller animal living inside of it to get food
koy pla - spicy uncooked fish salad, minced or finely chopped raw fish in spicy salad. It is the most popular raw fish dish in Isan (See Wikipedia)
raw - not cooked
raw and undercooked meat dishes
Isan dishes - food that people typically eat in the Northeast of Thailand
traditionally prepared Isan dishes
contract diseases - get a disease, catch a disease
her parents are worried that she may contract diseases from the traditionally-prepared Isan dishes.
common - happens often, people do often
eating raw fish is common - people often eat raw uncooked fish
linked - connected เชื่อมโยง เกี่ยวกับ
concern - a worry ความกังวล
major health concern
uncooked fish salad which is linked to liver cancer is a major health concern in the Northeast - a region where eating raw fish is common.
hazard - something that is dangerous and likely to cause damage สิ่งที่เป็นอันตราย
public health - the science and art of preventing disease, prolonging life and promoting health through the organized efforts and informed choices of society, organizations, public and private, communities and individuals; takes action to improve health and quality of life among a large group of people through the prevention and treatment of disease and other physical and mental health conditions, through surveillance of cases and the promotion of healthy behaviors (See Wikipedia)
epidemiology - "the study of health-events, health-characteristics or health-determinant patterns in a population. It is the cornerstone method of public health research, and helps inform policy decisions and evidence-based medicine by identifying risk factors for disease and targets for preventive medicine. Epidemiologists are involved in the design of studies, collection and statistical analysis of data, and interpretation and dissemination of results" (See Wikipedia)
liver - a part of the body that does many things such as handling drugs, alcohol and poisons that enter the body, making them less dangerous (detoxification) and production of biochemicals necessary for digestion and handling fats (bile) (See Wikipedia)
cancer - cancers that begin in the liver a disease with out of control cell growth, "cells divide and grow uncontrollably, forming malignant tumors, and invade nearby parts of the body. The cancer may also spread to more distant parts of the body through the lymphatic system or bloodstream" (See Wikipedia)
liver cancer - a cancer of the bile ducts which drain bile from the liver into the small intestine "risk factors include infection with the parasitic liver flukes Opisthorchis viverrini or Clonorchis sinensis, ...considered to be an incurable and rapidly lethal disease unless all of its tumors can be cut out surgically" (See Wikipedia)
there are two types of liver cancer - hepatocellular carcinoma (HCC) and cholangiocarcinoma.
hepatocellular carcinoma (HCC) - the most common type of liver cancer around the world (except for Thailand where cholangiocarcinoma is the problem), hepatitis B or C or cirrhosis of the liver from alcoholism are the most common causes (See Wikipedia)
cholangiocarcinoma - "a cancer of the bile ducts which drain bile from the liver into the small intestine, a known risk factor for cholangiocarcinoma includes infection with the parasitic liver flukes Opisthorchis viverrini or Clonorchis sinensis, Cholangiocarcinoma is considered to be an incurable and rapidly lethal disease unless all of its tumors can be fully cut out surgically, There is no potentially curative treatment except surgery, but most patients have advanced because of this inoperable disease after diagnosis" (See Wikipedia)
habit - some action that you do often and regularly (example: biting your fingernails is a bad habit, washing your dish after you eat is a good habit)
eating habits
toll - the number of deaths and injuries caused by a disaster, accident, disease, etc.
take a toll - cause injury, damage and death
liver cancer takes its toll - people die or get sick from liver cancer
raise - parents looking after a child as he or she grows up to be an adult
born and raised in - born and lived in this place as a child
born and raised in the northeastern province of Ubon Ratchathani
hepatocytes - the main cell that a liver is made of, involved in protein synthesis, protein storage, transformation of carbohydrates, synthesis of cholesterol, bile salts and phospholipids, detoxification, modification, and excretion of substances, initiates formation and secretion of bile. (See Wikipedia)
the HCC begins in the hepatocytes, the main type of liver cell
bile - a bitter-tasting, dark green to yellowish brown fluid, produced by the liver that aids the process of digestion of fats and lipids in the small intestine. stored in the gallbladder and upon eating is discharged into the small intestine (See Wikipedia)
duct - a tube or pipe carrying a liquid or gas
bile ducts - a tube in the liver carrying bile
the other type, cholangiocarcinoma, starts in the small tubes in the liver called bile ducts
nitrosamines - a chemical used in food preservatives that can probably cause cancer (carcinogen) (See Wikipedia)
food preservation - adding chemicals to food so that the food can be kept for a long time and not rot or go bad (See Wikipedia)
food preservatives - chemicals that are used to preserve foods (for food preservation) (See Wikipedia)
this cancer is mainly caused by opisthorchiasis, a parasitic disease associated with eating raw or under-cooked freshwater fish, and nitrosamines, a chemical compound used in food preservation
treatment - the process of providing medical care การรักษา
there is no treatment for this type of cancer as bile ducts cannot be taken out of the liver
although it cannot be cured, it can be prevented by avoiding its two causes
infected - having a disease transmitted from someone else ซึ่งติดเชื้อ
in the northeastern part of Thailand, nearly six million people are infected with opisthorchiasis.
figure - an amount y จำนวน
the figure makes Thailand the country with the highest number of cholangiocarcinoma patients in the world
population - all the people who live in one country, area or place กลุ่มที่อาศัยอยู่ในบริเวณหนึ่ง
there are 80 patients per 100,000 population in Thailand compared to one per 100,000 in the West.
X ranks Y - X is the Yth highest (example: Thailand is the 7th highest)
liver cancer ranks No.7 cause of death in Thailand with two patients dying from the disease every hour.
stage - a part of an activity or process or a period of development ระยะ, ช่วง, ตอน a particular point in time during a process or set of events ระยะเวลา ช่วงเวลา จังหวะเวลา
advanced stage - fully developed (for a cancer means death will likely happen soon)
there are 23,000 new cases each year and 87% of them are in advanced stage.
bid - an attempt to do something ความพยายาม
lethal - very dangerous and able to kill you เป็นอันตรายถึงชีวิต
youth - a young person เด็กหนุ่ม, วัยรุ่น
volunteers - people working without being paid (usually for a good cause, helping people)
launched - began; started เริ่มต้นดำเนินการ
campaign - a series of actions intended to produce political or social change and persuade people to do something การรณรงค์, การกระทำการหรือวางแผนเพื่อให้บรรลุตามเป้าหมาย
launch a campaign - start a campaign
in a bid to fight against the lethal disease, youth volunteers launched a campaign to promote healthy eating habits
local - in or related to the area that you live, or to the particular area that you are talking about ท้องถิ่น
local kindergarten kids
enhance - strengthen and improve; to improve or increase the quality, amount or strength of something ทำให้ดีเพิ่มขึ้น ปรับปรุง ขยาย เพิ่ม
enhance quality of life
generation - a group of people in society who are born and live around the same time รุ่น (คนรุ่นต่างๆ)
false belief - something that people think is true but is not true
ignored my warning - did not listen to him when he said something is dangerous
he claimed that lime juice or some red ants he put in the salad and drinking rice whisky would kill any germ in raw fish. That's not true, but he, like so many people of his generation, strongly held that false belief and ignored my warning.
it doesn't matter
It doesn't matter if I stop eating raw fish right now because I had had it since I was a kid
inappropriate - not appropriate, not acceptable
risk - danger, how likely or possible it is for a bad event that causes harm and damage ความเสี่ยง
at risk - in a dangerous situation (in which some bad event can happen)
actually, the more they eat that inappropriate food, the more they are at risk for opisthorchiasis and cholangiocarcinoma.
effective - works well, gets the job done; producing the result that was intended ได้ผลดี
as for the most effective result in preventing opisthorchiasis, they should not even have one bite of raw fish.
primary school - the first level of school for little children after kindergarden
principal - main or most important สำคัญ เป็นหลัก หัวหน้า, สำคัญที่สุด
targets - goals or levels you plan to achieve
inform - tell people about something (that they do not know about yet, but should know about)
principal targets to be informed - the people they want to tell about something first
kindergarten kids and primary school students are principal targets to be informed.
media - radio, television, newspaper, the Internet, considered as a group สื่อ
to communicate with kids the youth volunteers emphasised on using new communication media.
theatrical plays
they produced and presented cartoon videos, illustrations, music, games and short theatrical plays about the cancer.
memory - something that you remember from the past; the ability to remember information, experiences and people ความจำ
commit the message to memory - memorize the message (remember the message)
awareness - the state of knowing about something การรับรู้, การทราบ
all these were designed to help younger children commit the message to memory, creating awareness about avoiding the risks of eating raw or under-cooked food and thus contracting liver cancer
target - a goal; the amount you are planning to achieve เป้าหมาย
target group - the group to be helped (the group that the activity is directed to)
The target group included more than 100 students from the college, elementary students from eight schools and parents of the participating children.
volunteer - to do some work without being paid อาสาสมัคร
pass on the information - give information you receive to other people
relatives - people in the same family (such as cousins, aunts and uncles, grandparents, outside of the "nuclear family" of mother, father, brothers and sisters)
it is hoped that the children will pass on the information to their parents and relatives.
chance - opportunity
have a chance - have an opportunity
alert - a warning to people to be prepared to deal with something dangerous การเตือนให้ระวัง การเตรียมพร้อม
whenever we have a chance, we alert adults, too.
attitude - the way you think and feel about something, as shown in behaviour
reinforce - make stronger
attitude - the way that people think and feel about something
change in attitude -
reinforcing the call for change in attitude towards the food
our presentations involved not only young children, but also their parents, reinforcing the call for change in attitude towards the food.
role - the position or purpose that someone or something has in a situation, organisation, society or relationship บทบาท
role-play - when you pretend and act like some situation exists, to practice what you would do or say in this situation
evil - very bad
Evil Raw Fish
kindergarten - the first level of school that very young children attend when they first start school
educational campaign
Ubon Ratchathani Rajabhat University also held a similar "kids-first" educational campaign, with a role-play act, Jao Wai Rai Pla Dip or Evil Raw Fish, and games targeting some 300 kindergarten and primary school students
audience - the people who watch an event happen ผู้ชม the group of people gathered in one place to watch or listen to a play, film, someone speaking, etc. ผู้ชม
get the message - understand what they are talking about
the campaign aims to make it easier for the young audience to get the message.
performance - how well or badly something works (or whether an investment provides a reasonable return)
folk band - a band that plays local music (example: a band that plays local Isan music luk tung)
there was also a performance of modern northeastern-style music by a mor lam singing folk band as well as fun-filled activities.
too late - not possible anymore (it is beyond the time, when it would be successful)
hooked - finding something so interesting or attractive that you want to do it as much as possible ติดใจ ตกกระไดพลอยโจน
spokespeople - people who make officials announcements for an organisation
high incidence - happens often, have a lot of it
it's maybe too late for the adults as they are hooked on the taste of raw fish, but for children, they will be our spokespeople, a model, a new generation without a high incidence of cholangiocarcinoma
it's a lot easier said than done - meaning: it is easy to say that you will do it, but difficult to do (so you might not do it, in the end)
The young volunteer knows well that it's a lot easier said than done. "Eating habits will not easily change."
lifestyle - the living conditions and things people do everyday (fashion, home decoration, pets, cooking, music, tv, movies, garden, etc) รูปแบบการดำเนินชีวิต


