posttoday

‘ปอดบวม’หนึ่งในลิสต์โรคประจำฤดูหนาว

29 ตุลาคม 2563

“โรคปอดบวม” อาการติดเชื้อในปอดที่อาจเป็นได้ทั้งเชื้อแบคทีเรีย เชื้อไวรัส หรือเชื้อรา โรคยอดฮิตที่มาพร้อมลมหนาว

กรมอุตุนิยมวิทยาแจ้งว่าปีนี้ประเทศไทยฤดูหนาวจะมาไวกว่าปกติ ซึ่งสภาพอากาศที่เย็นลงอาจส่งผลให้เกิดโรคภัยต่างๆ ได้ง่ายโดยเฉพาะโรคสุดฮิตอย่าง “โรคปอดบวม” ที่เกิดจากการติดเชื้อในปอด อาจเป็นได้ทั้งเชื้อแบคทีเรีย เชื้อไวรัส หรือเชื้อรา แม้จะเป็นโรคที่สามารถรักษาให้หายได้เพราะมีวัคซีนป้องกันและยารักษา แต่ก็มีความเสี่ยงในการเสียชีวิตสูงเช่นเดียวกัน ล่าสุด องค์การอนามัยโลกได้เปิดเผยตัวเลขว่ามีเด็กจำนวนกว่า 800,000 คนต่อปีเสียชีวิตด้วยโรคปอดบวม

‘ปอดบวม’หนึ่งในลิสต์โรคประจำฤดูหนาว

ข้อมูลโดย รศ.นพ.ธีระศักดิ์ แก้วอมตวงศ์ สาขาวิชาโรคระบบการหายใจและเวชบำบัดวิกฤต ภาควิชาอายุรศาสตร์ คณะแพทยศาสตร์โรงพยาบาลรามาธิบดี มหาวิทยาลัยมหิดล เผยเรื่องราวเกี่ยวกับโรคปอดบวม ดังนี้

อาการและกลุ่มเสี่ยงโรคปอดบวม

โรคปอดบวมสามารถสังเกตได้จากผู้ป่วยจะมีอาการ ไอ เจ็บหน้าอก เหนื่อย หอบ หายใจลำบาก บางคนอาจมีอาการไข้หนาวสั่นร่วมด้วย โดยเฉพาะผู้สูงอายุที่มีอายุตั้งแต่ 65 ปี ขึ้นไป และเด็กเล็กที่มีอายุน้อยกว่า 5 ขวบถือว่าเป็นกลุ่มเสี่ยงที่สำคัญและมีอัตราการเสียชีวิตสูง นอกจากนี้ผู้ที่มีโรคประจำตัว หรือผู้ที่มีภูมิคุ้มกันบกพร่อง ก็จัดอยู่ในกลุ่มเสี่ยงเช่นกัน

‘ปอดบวม’หนึ่งในลิสต์โรคประจำฤดูหนาว

วิธีป้องกันโรคปอดบวม

โรคปอดบวมคือโรคที่เกิดจากการติดเชื้อทางเดินหายใจชนิดหนึ่งเช่นเดียวกับไข้หวัดทั่วไป โดยสามารถติดต่อกันผ่านการไอ จาม น้ำมูกหรือสัมผัสสารคัดหลั่งต่าง ๆ ของผู้ที่ติดเชื้อ ดังนั้นวิธีป้องกันที่มีประสิทธิภาพที่สุดก็คือเริ่มจากตัวผู้ป่วย โดยต้องใส่หน้ากากอนามัยหากต้องไปในที่สาธารณะหรือที่ ๆ ผู้คนแออัด เพื่อลดการแพร่กระจายของเชื้อ ส่วนคนรอบข้างก็สามารถป้องกันตัวเองได้ด้วยการล้างมือบ่อย ๆ ใส่หน้ากากอนามัยหากต้องอยู่ใกล้กับผู้ป่วย อีกทั้งในปัจจุบันยังมีวัคซีนป้องกันโรคปอดบวมที่สามารถเข้ารับการฉีดได้จากโรงพยาบาลชั้นนำทั่วประเทศ

‘ปอดบวม’หนึ่งในลิสต์โรคประจำฤดูหนาว

หากเป็นแล้วเสี่ยงเสียชีวิตหรือไม่

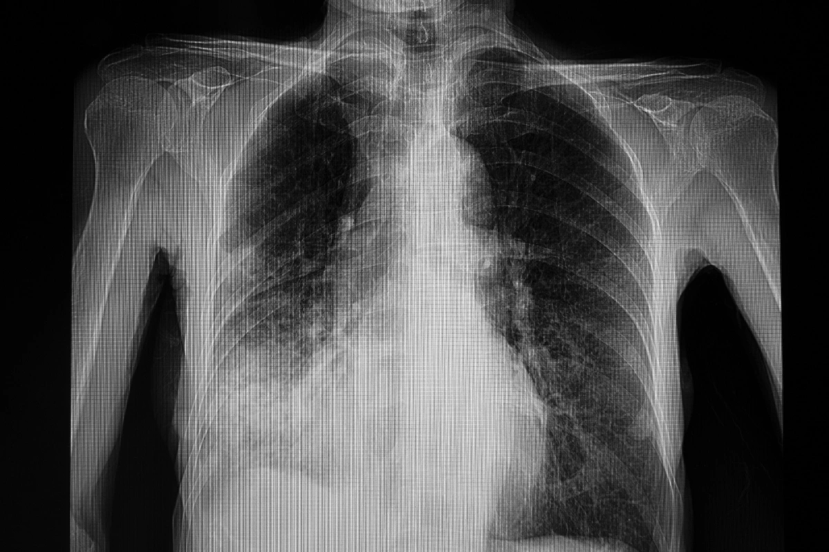
คนที่เสียชีวิตด้วยโรคปอดบวมนั้น สาเหตุส่วนใหญ่มาจากปอดมีการอักเสบรุนแรงและติดเชื้อในกระแสเลือด เนื่องจากได้รับการรักษาช้า รวมถึงยังเป็นผู้ที่อยู่ในกลุ่มเสี่ยงเบื้อนต้นตามที่กล่าวมา แต่แท้จริงแล้วโรคปอดบวมเป็นโรคที่สามารถรักษาให้หายขาดได้หากได้รับการรักษาที่ทันท่วงที หากใครที่มีอาการเข้าข่ายแพทย์จะทำการเอกซเรย์ปอดเพื่อหาความผิดปกติ โดยสังเกตได้จากปอดจะมีฝ้าสีขาวอย่างชัดเจน แต่ในผู้ป่วยระยะเบื้องต้นจะมีความยากตรงที่การเอกซเรย์จะยังเห็นฝ้าไม่ชัดมากนัก ดังนั้นจึงต้องใช้วิธีติดตามอาการแล้วมาเอกซเรย์ในครั้งถัดไป

ข่าวล่าสุด

เอกนิติ แจงไม่เทงบหมดหน้าตัก รับศึกน้ำมัน หวั่นวิกฤตยืดเยื้อ