กระดูกสันหลังคดในเด็ก สัญญาณเตือนที่พ่อแม่ควรสังเกต พร้อมแนวทางแก้จาก รมช.ศึกษาธิการ
จากกรณีข่าวนักเรียนชั้น ม.3 โรงเรียนชื่อดังของ จ.ขอนแก่น ถูกส่งตัวเข้าโรงพยาบาล พบว่า "กระดูกสันหลังคดงอ" เบื้องต้นแม่คาดสาเหตุน่าจะเกิดจากการแบกสิ่งของที่หนักและนาน ซึ่งก็คือ "กระเป๋านักเรียน" จึงฝากเตือนผู้ปกครองให้ใส่ใจบุตรหลานมากขึ้น
จากกรณีข่าวนักเรียนชั้น ม.3 โรงเรียนชื่อดังของ จ.ขอนแก่น ถูกส่งตัวเข้าโรงพยาบาล พบว่า "กระดูกสันหลังคดงอ" เบื้องต้นแม่คาดสาเหตุน่าจะเกิดจากการแบกสิ่งของที่หนักและนาน ซึ่งก็คือ "กระเป๋านักเรียน" จึงฝากเตือนผู้ปกครองให้ใส่ใจบุตรหลานมากขึ้น
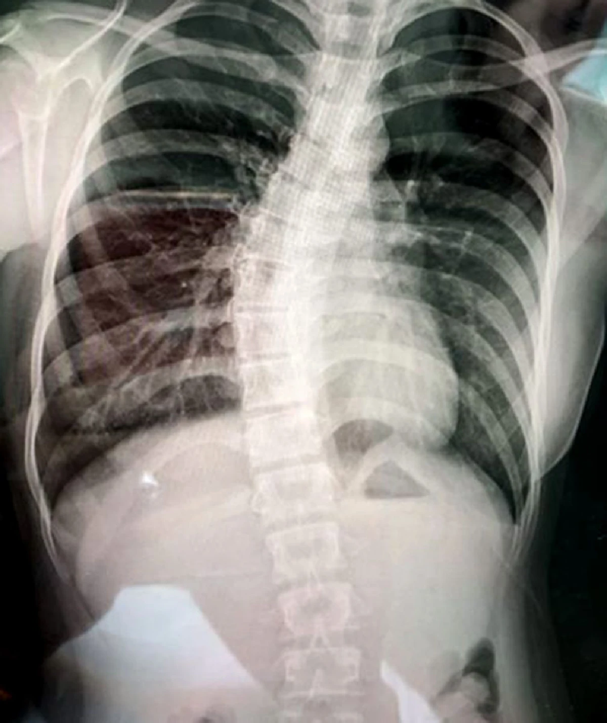
กระดูกสันหลังคด (Scoliosis) คือการคดงอของกระดูกสันหลัง หรือมีลักษณะบิดเบี้ยวไปด้านข้าง ทำให้เสียสมดุลและไม่สวยงาม ซึ่งเกิดขึ้นได้กับทุกวัย แต่ส่วนใหญ่แล้วมักเกิดขึ้นกับเด็กที่มีอายุตั้งแต่ 10-15 ปี ซึ่งมักคดไม่มาก และไม่ทำให้รู้สึกเจ็บ หากอาการไม่รุนแรงมักไม่ต้องเข้ารับการรักษา แต่หากกระดูกสันหลังคดมาก อาจทำให้มีอาการปวดหลัง หรือรู้สึกเหนื่อยง่าย รวมทั้งมีอาการแทรกซ้อนอื่นๆ ตามมา ซึ่งจากการวิจัยพบว่าเด็กไทยมีกระดูกสันหลังคดในอัตรา 1 ต่อ 10,000 คน แต่ระยะหลังพบเด็กเป็นโรคนี้มากขึ้น ซึ่งผลกระทบต่อสุขภาพ ได้แก่ ทำให้แนวสะโพกเอียง รูปร่างพิการ ปวดหลัง มีปัญหาทางระบบหายใจ หอบเหนื่อยง่าย เป็นโรคปอดบวม ปอดอักเสบ หัวใจทำงานหนักจนสามารถเกิดภาวะหัวใจล้มเหลวได้
กระดูกสันหลังคดสังเกตได้อย่างไร
พ่อแม่สามารถตรวจกระดูกสันหลังของเด็กคร่าวๆ ได้ด้วยตัวเอง โดยให้เด็กยืนตัวตรง แล้วดูแนวสันหลังว่าตรงหรือไม่ จากนั้นให้เด็กก้มหลังลงให้มือทั้งสองข้างแตะพื้น ถ้ามองตามเส้นแนวกระดูกสันหลังแล้วไม่คดก็แสดงว่าปกติ
แต่ถ้ามีแนวกระดูกสันหลังไม่ตรงระดับหัวไหล่ หรือบ่าทั้งสองข้างไม่เท่ากัน มีการเอียงของลำตัวไปด้านใดด้านหนึ่ง ควรพาเด็กไปพบแพทย์ เพื่อให้แพทย์ตรวจวินิจฉัยและติดตามผล ว่าอาจมีอาการมากขึ้นในระยะยาวต่อไปหรือไม่ในอนาคต
ส่วนในรายที่กระดูกสันหลังคดเกิน 50 องศาของการคดนั้น จะพบว่าปุ่มนูนกลางกระดูกสันหลังมีการบิดหมุนดูไม่เท่ากันไปทั้งแนวกระดูกสันหลัง และมีอาการเหนื่อยง่าย หอบ เนื่องจากการที่กระดูกสันหลังคด ทำให้กระดูกซี่โครงไปกดเบียดโพรงในช่องปอดให้เล็กลง ปอดจึงขยายตัวได้ไม่เต็มที่ ความจุปอดจึงลดลง
การทดสอบนี้สามารถทำได้ตั้งแต่ลูกอายุ 2-3 ขวบ สำหรับเด็กอ่อนให้คุณหมอตรวจได้ตั้งแต่เกิด ทารกบางคนเกิดมาพร้อมความผิดปกติเลย คุณพ่อคุณแม่ลองมองๆ สังเกตหลังลูกบ้างก็ดี การตรวจตั้งแต่เนิ่นๆ ดีกว่ามาตอนปลายเหตุที่เป็นมากแล้ว
ลักษณะของโรคกระดูกสันหลังคดที่พบบ่อยมีดังต่อไปนี้
- แนวกระดูกสันหลังไม่ตรง
- ระดับหัวไหล่หรือบ่าทั้งสองข้างไม่เท่ากัน สะบักที่หลังด้านใดด้านหนึ่งอาจนูนขึ้นมามากกว่าอีกด้านหนึ่ง
- ศีรษะไม่อยู่กึ่งกลางแนวกระดูกเชิงกรานทั้งสองข้าง
- สะโพกด้านใดด้านหนึ่งยกขึ้นสูงกว่าอีกด้าน
- กระดูกซี่โครงมีความสูงไม่เท่ากัน
- สภาพผิวมีการเปลี่ยนแปลงแตกต่างจากอีกด้าน เช่น มีรอยบุ๋ม มีขนขึ้น สีผิวเปลี่ยนไปจากเดิม
- มีการเอียงของลำตัวไปด้านใดด้านหนึ่ง
- สัดส่วนของเอวมีความผิดปกติโดยมีระดับไม่เท่ากัน
อาการผิดปกติที่ควรพาไปพบแพทย์ทันที
- มีไข้
- อาการปวดหลังไม่ดีขึ้นหรือแย่ลง
- หายใจลำบากหรือมีเสียงหายใจฟืดฟาด
- มีปัญหาเกี่ยวกับการปัสสาวะและการขับถ่าย
- ขยับขาลำบาก
- ขาชา อ่อนแรง หรือไม่มีความรู้สึก
สาเหตุกระดูกสันหลังคดในเด็ก
กระดูกสันหลังคดในเด็กเกิดได้จากหลากหลายสาเหตุ ซึ่งแบ่งตามประเภทของกระดูกสันหลังคดออกเป็น 3 ลักษณะ ได้แก่
- กระดูกสันหลังคดที่ไม่ทราบสาเหตุ เป็นชนิดที่พบได้มากที่สุดในเด็ก ส่วนใหญ่มักเกิดขึ้นเมื่อใกล้เข้าสู่วัยเจริญพันธุ์ โดยไม่ปรากฏสาเหตุการเกิดที่ชัดเจน แต่พบว่าอาจถ่ายทอดทางพันธุกรรมได้
- กระดูกสันหลังคดแต่กำเนิด คือความผิดปกติของกระดูกสันหลังที่เกิดขึ้นตั้งแต่อยู่ในครรภ์ มักสังเกตอาการและลักษณะที่คดของกระดูกสันหลังได้ชัดเจนเมื่อเด็กอายุ 2 ปี หรือในช่วงอายุระหว่าง 8-13 ปี ซึ่งเป็นช่วงที่เด็กมีพัฒนาการและการเจริญเติบโตทางร่างกายอย่างรวดเร็ว
- กระดูกสันหลังคดจากปัญหาสุขภาพอื่น มีสาเหตุมาจากโรคที่ส่งผลต่อระบบกล้ามเนื้อหรือกระดูก เด็กที่มีปัญหาสุขภาพในด้านนี้เป็นเวลานานอาจเกิดกระดูกสันหลังคดได้ เช่น โรคกล้ามเนื้อฝ่อ โรคสมองพิการ มาร์แฟนซินโดรม (Marfan Syndrome) โรคกระดูกเปราะกรรมพันธุ์ เนื้องอกที่กระดูกสันหลัง เป็นต้น
วิธีแก้ไขโดยการปรับเปลี่ยนพฤติกรรม
ควรสะพายเป้แบบกระเป๋าหลังทั้งสองข้าง น้ำหนักของกระเป๋าไม่ควรเกิน 10% ของน้ำหนักตัวผู้ถือหรือสะพาย หากจำเป็นต้องหอบหนังสือเยอะให้แบ่งใส่กระเป๋าถือไปเพื่อการกระจายน้ำหนัก พฤติกรรมที่ควรหลีกเลี่ยงคือ การสะพายกระเป๋าข้างใดข้างหนึ่งเป็นเวลานานๆ ควรเปลี่ยนสะพายสลับข้างซ้าย-ขวา และบริหารกล้ามเนื้อต้นคอ บ่า ไหล่ เป็นประจำ เพื่อเพิ่มความยืดหยุ่นและแข็งแรงของกล้ามเนื้ออยู่เสมอ
แนวทางแก้โดย รมช.ศึกษาธิการ
ล่าสุด เมื่อวันที่ 30 ก.ค. 2562 คุณหญิงกัลยา โสภณพนิช รมช.ศึกษาธิการ กล่าวกรณีเด็กนักเรียนชั้นมัธยมศึกษาปีที่ 3 ในจังหวัดขอนแก่นมีอาการป่วยกระดูกสันหลังคดงอ โดยเชื่อว่ามีสาเหตุมาจากต้องสะพายกระเป๋าหนังสือที่มีน้ำหนักมากไปโรงเรียนทุกวัน ว่าคงต้องเปลี่ยนมาใช้หนังสืออิเล็กทรอนิกส์ หรืออีบุ๊กให้มากขึ้น เพื่อให้เด็กไม่ต้องแบกหนังสือไปโรงเรียน ซึ่งวิธีนี้เป็นทางออกที่ตรงที่สุดแล้ว
อย่างไรก็ตาม เรื่องดังกล่าวเพิ่งจะเป็นข่าวได้ไม่นาน แต่เรามีแนวความคิดอยู่แล้วว่าจะให้มีอีบุ๊กมากขึ้น โดยสามารถดาวน์โหลดหนังสือลงโทรศัพท์มือถือได้
ผู้สื่อข่าวถามว่า ได้มีการตรวจสอบข้อเท็จจริงของอาการดังกล่าวแล้วหรือไม่ เพราะหมอไม่ได้มีการวินิจฉัย แต่เป็นการสันนิษฐานของแม่เด็กนักเรียน คุณหญิงกัลยากล่าวว่ายังพิสูจน์ไม่ได้แต่ก็มีส่วน เช่น เด็กที่ใช้มือถือวันละ 7-10 ชั่วโมง นอกจากต้องใช้สายตาแล้วยังต้องแบกศีรษะของตัวเอง เพราะเมื่อเราก้มหน้ามากร่างกายก็ต้องแบกศีรษะทำให้กระทบกระเทือนต่อสุขภาพขึ้นมาเพื่อรับน้ำหนัก ซึ่งร่างกายของเราไม่ได้ถูกสร้างขึ้นมาเพื่อให้รับน้ำหนักตรงนี้โดยธรรมชาติ ส่วนโรงเรียนในชนบทให้เด็กนำหนังสือไปโรงเรียนในทุกวิชาทั้งที่บางเล่มก็ไม่ได้ใช้เรียนนั้น เราให้ความสำคัญในเรื่องสุขภาพของนักเรียนอยู่แล้ว เมื่อเกิดเหตุการณ์เช่นนี้แล้วเราคงไม่นิ่งนอนใจ
ผู้สื่อข่าวถามอีกว่า จะดำเนินการตรวจสอบโรงเรียนที่บังคับขายกระเป๋าให้กับนักเรียนหรือไม่นั้น คุณหญิงกัลยา กล่าวว่า เรื่องนี้เราจะเข้าไปศึกษาดู
ส่วนที่โลกโซเชียลมีเดียเรียกร้องให้ยกเลิกการพาผู้ปกครองไปร่วมกิจกรรมของโรงเรียนในวันพ่อและวันแม่ เนื่องจากมีเด็กนักเรียนบางคนเป็นเด็กกำพร้านั้น คุณหญิงกัลยา กล่าวว่า ตามประเพณีไทยเราต้องเคารพพ่อและแม่อยู่แล้ว ในวันหนึ่งของปีหนึ่งใครๆ ก็อยากแสดงออก แต่ประเพณีที่ดีงามเช่นนี้บางครั้งอาจไม่เข้ากับเด็กสมัยใหม่ แต่ก็เป็นประเพณีและวัฒนธรรมที่ดี ดังนั้นจึงต้องหาจุดที่ดีและเหมาะสม อย่างไรก็ตาม หากพ่อและแม่ไม่ว่างก็ไม่จำเป็นต้องพาไป เพราะการแสดงออกมีหลายรูปแบบ


